
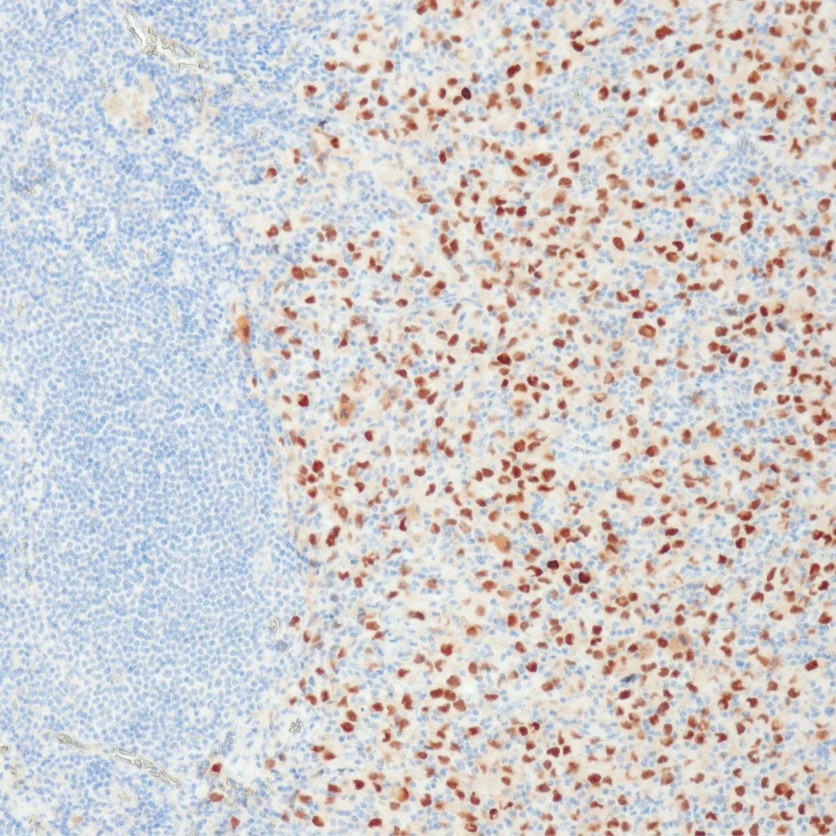
PRAME (QR005) Melanoma Marker IHC
In Vitro Diagnostic Tests
Information
NordiQC Assessment Run 70 2024: Optimal staining result with clone QR005!
PRAME (PReferentially expressed Antigen in MElanoma) is a tumor-associated antigen that is preferentially expressed on the nuclei of neoplastic melanocytes. The new anti-PRAME antibody is thus a helpful investigational complement for situations in which antibodies against HMB-45, Melan A and SOX10 do not give sufficient information as an aid in the distinction between the proliferation of benign and malignant melanocytic lesions. Additionally it may also be a valuable marker for margin assessment of known PRAME-positive melanoma. Sebaceous gland lobules can be used as an internal positive control.
Recent publication indicated that a diffuse nuclear immunoreactivity for PRAME can be found in 83.2 % of primary and 87 % in metastatic melanomas. Diffuse PRAME expression can be found among all melanoma subtypes, 92.5 % in superficial spreading melanomas, 94.4 % in acral melanomas. 86.4 % of cutaneous melanocytic nevi showed a completely negative PRAME staining.
PRAME was identified as a cancer testis antigen (CTA) through analysis of the specificity of tumor-reactive T-cell clones derived from a patient with metastatic cutaneous melanoma and by its absent expression in normal healthy tissues except in testis, ovary, placenta, adrenals and endometrium.
PRAME is not only expressed by melanomas but also by various nonmelanocytic neoplasms including non-small cell lung cancer (NSCLC), breast carcinoma, renal carcinoma, ovarian carcinoma, leukemia, synovial sarcoma and myxoid liposarcoma.
Due to its expression profile, PRAME is a very attractive target for immunotherapy. A number of clinical trials are underway trying to exploit CTAs, including PRAME, for cancer treatment.
Beyond the interest as a treatment target for patients with metastatic melanoma, PRAME has been identified as an important biomarker for metastatic risk in class 1 uveal melanoma.
