
Argenit Teknoloji AS
Exhibitors
Information
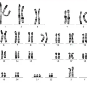
ARGENIT aims to help geneticists and pathologists make the best diagnosis in the fastest way with its advanced biomedical imaging systems and develops new diagnostic solutions tailored to laboratory needs that deliver high-quality clinical value and user experience for the clinical and research communities. Digital systems from ARGENIT provides the essential tools that laboratories today need to scale and streamline their exponentially increasing number of diagnostics and demands on cytogenetics, FISH and pathology. ARGENIT is an R&D investment brand advancing to become the world leader in biomedical imaging, offering comprehensive solutions for HE, IHC and FISH Analysis for Digital Pathology and also unique Anatomic Pathology LIS systems, with Chromosome Analysis Systems, FISH Analysis Systems and DNA FISH probe solutions in the field of genetics. ARGENIT offers end-to-end solutions for Pathology, Cytogenetics and Research laboratories from metaphase scanning to high resolution Whole Slide Imaging (WSI), quantitative analysis systems, reporting and LIS connectivity.






